Home Nieuws
Nieuws
Schadelijke chemicaliën in nagelproducten
Wetenschappelijk onderzoekers vonden 24 verschillende schadelijke chemicaliën in nagelproducten. Dit onderzoek vond plaats in 2019, en werd nu pas gepubliceerd. Toch wijzen de onderzoekers erop dat correcte vermelding van ingrediënten belangrijk blijft.
Het is weer gezonde-voeten-maand
April is in Amerika ‘National Foot Health Awareness Month’. Dan roepen podiatrists op om er voor te zorgen dat je voeten gezond blijven.
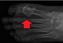
Tatoeagenaald maakt toedienen schimmelmedicijn effectiever
Een nieuwe techniek met een tatoeagenaald kan mogelijk de opname van medicatie door de nagel verbeteren, bijvoorbeeld bij de behandeling van schimmelinfectie van de nagel (onychomycose) en psoriasis. Behandelingen hiervan duren nu vaak lang terwijl klachten vaak terugkomen.
Eenzame mensen genezen slechter van voetulcera
Eenzaamheid speelt een negatieve rol bij de genezing van voetwonden. Dat laat een nieuw Amerikaans onderzoek zien.
Zo begin je een pedicurepraktijk
Wat komt er kijken bij het starten van een eigen pedicurepraktijk. De Kamer van Koophandel heeft het in een handig overzicht op een rijtje gezet.
Bewonderenswaardige en verwonderlijke schoenen
Deze schoenen met – inderdaad – fallussymbolen erin zijn te bewonderen in Keulen.
Bionische voet bootst natuurlijke loopbeweging na
De ‘Autonomous leg’ is een prothese die straks automatisch moet meebewegen met de gebruiker, zonder dat die elke stap bewust hoeft aan te sturen. Voor mensen bij wie een voet en de onderbeen is geamputeerd, moet dit het lopen veel makkelijker maken.
‘Grootste probleem bij chronische wonden: we voorkomen ze niet’
De medisch-technische sector roept in een witboek Europa op meer aandacht te besteden aan chronische wonden, zoals diabetische voetulcera. Dat moet leiden tot meer preventie en patiëntgerichte zorg.
Wanneer hang je je sneakers aan de wilgen?
Wat is het moment dat je echt een nieuw paar hardloopschoenen moet kopen? The New York Times zocht het uit.
Onduidelijk hoe je bij ulcera het beste de pijn aanpakt
Ibuprofen, sevofluraan, zuurstoftherapie, aspirine? Of gewoon paracetamol? Wetenschappelijke onderzoeken maken niet duidelijk wat de beste manier is om pijn te bestrijden bij patiënten met een ulcus.
Meest gelezen
Veelbesproken thema's
Onder het thema Medische voetzorg vind je artikelen en berichten over voetzorg bij cliënten of patiënten bij wie sprake is van risicovoeten.
Onder het thema Ondernemen vind je onder meer informatie over praktijkvoering, samenwerking, pr, maar ook bijvoorbeeld omgaan met cliënten.
Onder het thema Voetzorg Algemeen vind je informatie over onder meer instrumenten, hygiëne, schoenadvies, algemene voetverzorging.











